Hace casi un mes, el pasado 6 de abril, un joven roteño de 16 años se desplomaba en plena calle sufriendo dos paros cardiacos. Caía prácticamente muerto al suelo, pero afortunadamente pudieron reanimarle. Desde entonces está ingresado en la UCI del Hospital de Puerto Real, donde los médicos le diagnosticaron que sufre unas arritmias que le podrían provocar una muerte súbita.
Necesita que le coloquen un DAI
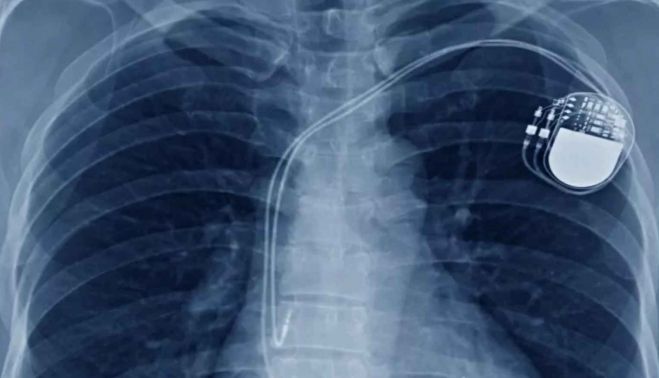
Para solucionar este grave problema de salud, el joven necesita una operación para que le coloquen un DAI (desfibrilador automático implantable), ya que su vida corre peligro. Desde el Hospital de Puerto Real se han puesto en contacto con el de Cádiz, que es el que tiene que dar el consentimiento para solicitar el dispositivo y operarlo.
Tras semanas de espera, la familia ha compartido en redes la situación, puesto que, hasta esta tarde, desde el Hospital de Cádiz ni habían contestado ni dado orden alguna por temas de burocracia y, como ha comentado la tía del joven, "por no querer pagar dicho dispositivo sin importar lo más mínimo la vida de un niño de 16 años. Por nuestro parte, lo único que está a nuestro alcance es hacerlo público en redes sociales para que se conozca el problema que seguimos teniendo a día de hoy después de un mes ingresado. Estamos desesperados".
Cambio de última hora tras la publicación en redes
La situación, curiosamente, ha cambiado tras una publicación en redes que está siendo muy compartido. Como asegura Luisa Moreno, la madre del joven, a lavozdelsur.es, "la cosa ha cambiado tras hacerlo público. Cádiz ha pasado la documentación a Sevilla, que es ahora quien tiene que aprobar mandar el dispositivo a Cádiz. Hace un rato nos han llamado para comunicarnos que mañana traslada a mi hijo a la UCI de Cádiz, a la espera de que Sevilla dé el visto bueno y mande el dispositivo".
"Es lamentable tener que llegar a esta situación y que lo que no han hecho un mes lo estén moviendo en horas. Y, mientras, la vida de mi hijo corriendo peligro", ha añadido Luisa.



