Un menor con 15 años anónimo de Londres, Reino Unido, decidió hacer un experimento con su propio cuerpo que acabó en Urgencias. El adolescente insertó un cable USB en su pene para calcular su longitud. Sin embargo, cuando intento sacar el cable, se quedó atascado.
A pesar de varios intentos, no pudo quitárselo y tuvo que ir al hospital con su madre. ¡l adolescente llegó al centro de salud con muchos dolores y tenía sangre en su orina, según detalló The Mirror.
Este medio inglés detalló que cuando la mujer salió de la sala en la que lo estaban revisando, el joven les confesó a los profesionales que él mismo se había introducido el cable dentro de su órgano reproductor.
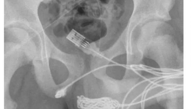
“Se descubrió que los dos puertos distales del cable USB sobresalían del meato uretral externo, mientras que la parte media del cable anudado permanecía dentro de la uretra”, indicaron los médicos en un informe difundido por ScienceDirect.com.
En un primer momento, los expertos buscaron extraer el cable del pene con una varilla de metal. Pero como había una gran cantidad de nudos en el cable, el paciente tuvo que ser operado.
“El paciente era un adolescente sano y en buena forma física, sin antecedentes de trastornos de salud mental”, agregó el comunicado de los especialistas. "Esto constituyó otro caso de curiosidad sexual que resultó en una emergencia urológica desafiante , manejada de manera efectiva con cirugía abierta y sin complicaciones a corto plazo", escribieron en el informe.
A las dos semanas tuvo que regresar al hospital para hacer un seguimiento y requerirá más visitas en el centro en el futuro. Tras este caso, los médicos advierten que introducir cosas en el pene a través de la uretra es un comportamiento que conlleva riesgos como provocar un agujero en la vejiga, orinar sangre y erecciones dolorosas.


