El aumento de casos de melioidosis en Australia, que ha emitido una alerta urgente tras acabar esta bacteria con la vida de dos personas y el contagio de otras 28, ha puesto en aviso también a la comunidad científica.
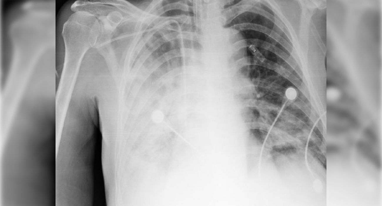
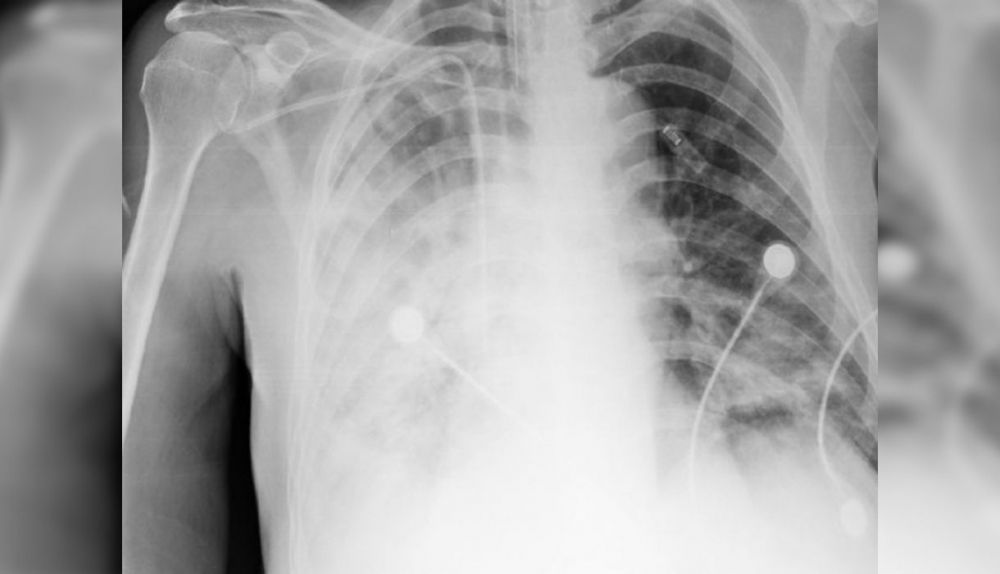
La melioidosis suele afectar a los pulmones en la versión aguda de la enfermedad, aunque también otros órganos pueden sufrir complicaciones.
Desde el punto de vista médico es una infección muy difícil de identificar, ya que los síntomas son confundibles con otras enfermedades y patologías. Debido a esto, el número de afectados es muy superior al que dan las cifras oficiales. La bacteria causa miles de muertes anualmente, pero poco se habla de esta enfermedad "silenciosa" al estar infradiagnosticada.
Las manifestaciones clínicas pueden ir desde neumonía o bronquitis a abscesos benignos o una septicemia con consecuencias fatales.
El contagio llega de forma directa con el suelo o a través de la inhalación de polvo o agua que contenga la referida bacteria. Por ahora, el tratamiento empleado contra la melioidosis está basado en antibióticos por vía intravenosa.


